Красивая и ровная улыбка незаметно и быстро!
*Акция и системы лояльности, действующие в клинике, не суммируются

Речной вокзал
*Акция и системы лояльности, действующие в клинике, не суммируются

Современные методы восстановления зубного ряда включают как съемные, так и несъемные конструкции. В числе наиболее эффективных решений — имплантация, которая обеспечивает надежную фиксацию и максимально приближенную к натуральной функцию. Импланты служат искусственными корнями, на которые закрепляются коронки, мосты или протезы. Такой подход позволяет сохранить костную ткань, обеспечить эстетику и функциональность, а также повысить качество жизни пациента.
Полная установка зубных имплантов предполагает фиксацию протеза на нескольких имплантатах, что обеспечивает стабильность и функциональность. В отличие от единичных имплантов, такие системы требуют более сложной подготовки, в том числе возможного наращивания костной ткани. Методика «All-on-4» позволяет установить полный ряд зубов всего на четырех имплантатах, что значительно сокращает сроки и стоимость лечения. Важным условием является наличие достаточной костной ткани для надежной фиксации конструкции.


Возможно «лечение во сне»
Используем современное высокотехнологичное оборудование


Мы сотрудничаем с официальными дилерами ведущих производителей зубных имплантатов. Это полностью исключает установку подделки
Тщательно проводим все этапы исследований

Даже в сложном случае — за счёт точной диагностики и соблюдения протоколов. Вы получите гарантию на лечение по Минздраву РФ
Главный врач, стоматолог-терапевт, ортопед, хирург
cтаж работы
33 года


Минимизация количества имплантатов, что сокращает сроки и стоимость лечения
Быстрая установка полного протеза, позволяющая сразу вернуть функциональность
Высокая стабильность и прочность конструкции даже при значительной атрофии костной ткани
Минимизация хирургического вмешательства и травматичности процедуры
Возможность использования качественных материалов, обеспечивающих эстетику и долговечность
Пациентка обратилась к нам около 3-х лет назад с жалобами на затруднённый приём пищи вследствие отсутствия жевательных зубов.
ПодробнееПациент обратился в клинику с жалобами на отсутствие зубов на верхней челюсти слева, эстетический дефект, затрудненный процесс пережевывания пищи.
ПодробнееПациент обратился в клинику с жалобами на отсутствие зубов на верхней челюсти слева, эстетический дефект, затрудненный процесс пережевывания пищи.
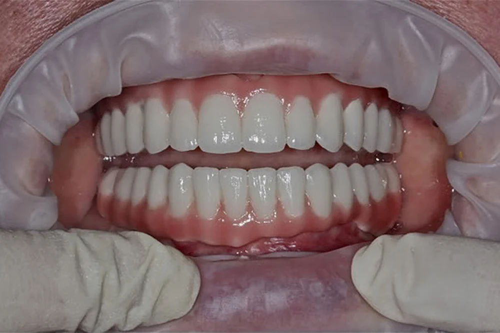
ПодробнееТотальное протезирование зубов верхней и нижней челюсти.
ПодробнееПациент М. обратился с целью протезирования ранее удаленного зуба 11.
ПодробнееСамыми красивыми, на сегодняшний день, при протезировании на имплантатах на беззубых челюстях получаются протезы из цельноциркониевой балки и цементируемые на нее коронки e.max.
ПодробнееПациент обратился в клинику с жалобами на боли в области ранее леченных зубов (периодонтит), несостоятельные старые ортопедические конструкции, выполненные в другой клинике.
ПодробнееПациентка обратилась в клинику с жалобами на полное отсутствие зубов на нижней челюсти
Подробнее
После подготовки хирург назначает дату операции. Как правило, все проходит под местным обезболиванием, но возможно лечение в наркозе. В процессе операции хирург осуществляет имплантацию 4х имплантатов в полости рта, которые будут служить опорой для временного протеза, а затем и для постоянного.

Стоимость процедуры зависит от объема подготовительных работ, типа используемых имплантов, выбранных материалов для протезных конструкций и индивидуальных особенностей пациента. Включает лечение и санацию ротовой полости, возможное наращивание костной ткани, а также стоимость самой системы имплантации и протезирования. Важно учитывать, что цена формируется исходя из сложности случая и необходимых дополнительных процедур.
| Наименование услуги | Цена, руб. |
|---|---|
| Установка импланта «OSSTEM» (Корея) Акция | от 39 000 руб. от 30 000 руб. |
| Установка импланта «ASTRA-TEСН» (Швеция) Акция | от 72 800 руб. от 52 600 руб. |
| Установка имплантата «Hiossen» (Корея) Акция | от 42 000 руб. от 32 000 руб. |
| Консультация врача | 1 700 руб |
| Удаление постоянного зуба | от 2 900 руб. |
| Удаление зуба мудрости | от 5 900 руб. |
| Металлокерамическая коронка CoCr | от 14 500 руб. |
| Безметалловая керамика | от 27 500 руб. |
| ТРГ (телерентгенограмма) черепа | 1 960 руб. |
| Рентгенографический снимок 1-го зуба | 640 руб. |
| Ортопантомограмма | 1 960 руб. |
| Компьютерная радиовизиография (1 сегмент) | 640 руб. |
| Цифровая ортопантомограмма всех зубов (ОПТГ) | 1 960 руб. |
| 3D (КЛКТ) 2 челюсти (Ф11х8), без заключения рентгенолога | 5 240 руб. |
| 3D (КЛКТ) 1 челюсть (Ф11х5), без заключения рентгенолога | 4 540 руб. |
| 3D (КЛКТ) 1 сторона 2 челюсти (Ф8х8), без заключения рентгенолога | 4 540 руб. |
| 3D (КЛКТ) 1 сторона 1 челюсть (Ф8х5), без заключения рентгенолога | 3 890 руб. |
| 3D (КЛКТ) 1 сегмент (Ф5х5 ЭНДО), без заключения рентгенолога | 2 480 руб. |
| 3D (КЛКТ) ВНЧС 2 стороны, без заключения рентгенолога | 4 860 руб. |
| 3D (КЛКТ) ВНЧС 1 сторона, без заключения рентгенолога | 3 560 руб. |
| Цифровая телерентгенограмма одной стороны (ТРГ) | 1 960 руб. |
Для долговременной сохранности имплантов необходимо соблюдать гигиену полости рта: регулярно чистить зубы мягкой щеткой, использовать межзубные ершики и антисептические ополаскиватели. Важно проходить регулярные профилактические осмотры у стоматолога, своевременно устранять воспаления и контролировать состояние имплантатов. Исключите вредные привычки, такие как курение и злоупотребление алкоголем, поскольку они ухудшают заживление и повышают риск осложнений.
Перед началом лечения обязательно проводится комплексное обследование для определения индивидуальных противопоказаний и выбора оптимальной методики.
Закажите обратный звонок, консультация бесплатно
Стоматолог-хирург
Речной вокзал